Sunday, October 19, 2014

Hospitalization

Although pancreatitis is considered harmful to the body, only in rare cases is there an actual need for patient to be hospitalized with pancreatitis. The most common cases of pancreatitis that are sent to the hospital or the acute based forms of pancreatitis. This is when digestive and times suddenly activate inside the pancreas causing inflammation and swelling of the pancreas. Typically if this were to happen the patient would stay 3 to 5 days in the hospital. However if there is a cute pancreatitis begins to effect other organs then the patient will stay in the hospital longer until here she is cleared.










Source:
http://youtu.be/inRSjh3bHPg

Monday, October 13, 2014

How the Pathophysiology is acquired

Pancreatitis is not a an illness that is genetic, or something that can be transmitted. However Pancreatitis is typically acquired by damage to the pancreas,  in which the transforming growth factor beta (TGF-beta) stimulates the grown of cells in the pancreas causing the synthesis of extracellular matrix proteins. Pancreatitis is also caused by chronic use of drugs and alcohol.
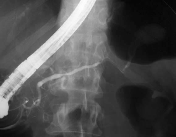
Picture above is of a patient who has been in a motor cycle accident who has also had heavily drinking problems in the past. The thin white line in the image is of a growth off the pancreas.




Works Cited
http://emedicine.medscape.com/article/181554-overview#a0101